Accès au contenu
Ruminants

Les éleveurs de ruminants sous-estiment les risques liés à la fièvre Q

D’après un sondage présenté le 18 mai, seuls 10 % des éleveurs de ruminants estiment « élevé » le risque d’introduction de la fièvre Q dans leur cheptel. Or la prévalence réelle de cette maladie transmissible à l’homme est de 36 % des élevages en bovins et 56 % en caprins.

Les éleveurs de ruminants sous-estiment les risques liés à la fièvre Q
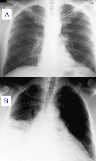
Pendant sa progression, la maladie peut évoluer vers une pneumonie atypique, qui peut mettre en cause le pronostic vital en raison d’un syndrome de détresse respiratoire aiguë (source : Wikipedia)

Deux tiers des éleveurs de ruminants qualifient de « faible » le risque d’introduction de la fièvre Q dans leur troupeau, montre un sondage commandé par le Comité fièvre Q et présenté le 18 mai. Seuls 10 % des agriculteurs estiment ce risque « élevé », d’après cette étude réalisée par l’institut Viavoice en septembre 2020 auprès de 375 éleveurs, 100 vétérinaires et 100 médecins. Une proportion largement inférieure à la prévalence réelle de cette maladie, à laquelle ont été exposés 36 % des élevages de bovins, 56 % en ovins et 61 % en caprins, selon une étude de 2017.

Premier facteur explicatif de ce décalage : la majorité des animaux touchés sont asymptomatiques. Par ailleurs, les éleveurs ont en général tendance à minorer la menace des zoonoses (maladies animales transmissibles à l’homme). De même, 15 % estiment « élevé » le risque d’introduction de la tuberculose bovine dans leur cheptel.

Chaque année, 200 personnes hospitalisées

De leur côté, seuls 27 % des médecins trouvent « élevé » le risque lié à la fièvre Q pour la santé humaine. Chaque année, 200 personnes sont hospitalisées pour cette maladie. En zone d’élevage, 12 % des donneurs de sang sont porteurs d’anticorps indiquant un contact direct avec Coxiella burnetii, la bactérie responsable de la fièvre Q, d’après une étude parue en janvier dans la revue Zoonoses and public health. Une proportion qui grimpe à 56 % pour les éleveurs et 90 % pour les vétérinaires. Plus de trois quarts des éleveurs interrogés connaissent la fièvre Q, ne serait-ce que de nom. Son principal symptôme, les avortements, est bien identifié et cité spontanément par 43 % des éleveurs de bovins et 48 % des éleveurs de petits ruminants. La maladie peut aussi provoquer une baisse de 20 % de la production de lait chez les animaux malades.

Problème : « Seul un avortement sur trois est déclaré, alors que c’est obligatoire » dans le cadre de la lutte contre la brucellose, déplore Éric Collin, président de la commission épidémiologie du SNGTV (groupements techniques vétérinaires). Un « problème récurrent », reconnaît Christophe Brard, président du SNGTV et co-président du Comité fièvre Q : « Souvent, les éleveurs pensent que ça leur coûtera de l’argent et que les analyses ne donneront rien ». La visite après un avortement et la recherche de la brucellose sont prises en charge, mais pas les analyses pour rechercher d’autres causes. Une aide financière pour ces examens complémentaires serait « un levier puissant », propose Raphaël Guatteo, enseignant chercheur à l’école vétérinaire Oniris de Nantes et co-président du Comité fièvre Q (1).

Première mesure : isoler les animaux malades

Au-delà du diagnostic, « nous avons des marges de progrès énormes » dans les mesures de lutte et de protection, affirme Christophe Brard. L’enquête de Viavoice a montré que « 50 % des éleveurs confrontés à la maladie ne font rien » pour se protéger, s’inquiète le président du SNGTV. Et d’appeler à porter des gants et un masque, car C. burnetii se transmet par voie aérienne. Du côté des mesures de lutte contre la maladie, plus de la moitié des professionnels (éleveurs comme vétérinaires) citent spontanément l’isolement des animaux malades, et plus d’un tiers la vaccination. « C’est à ce jour le seul moyen de limiter l’impact de la fièvre Q », affirme Éric Collin.

« Les éleveurs savent que l’isolement est la mesure incontournable, mais il reste peu réalisé en pratique, observe Kristel Gache, vétérinaire épidémiologiste chez GDS France. Il faut trouver le juste milieu entre la recommandation scientifique parfaite et ce qui est réalisable pratiquement ». D’ici début juin, le Comité fièvre Q prévoit de diffuser sur un site internet une dizaine de fiches pratiques à destination des vétérinaires et des éleveurs.